Corps Continuum
Corps Continuum
Couldn't load pickup availability
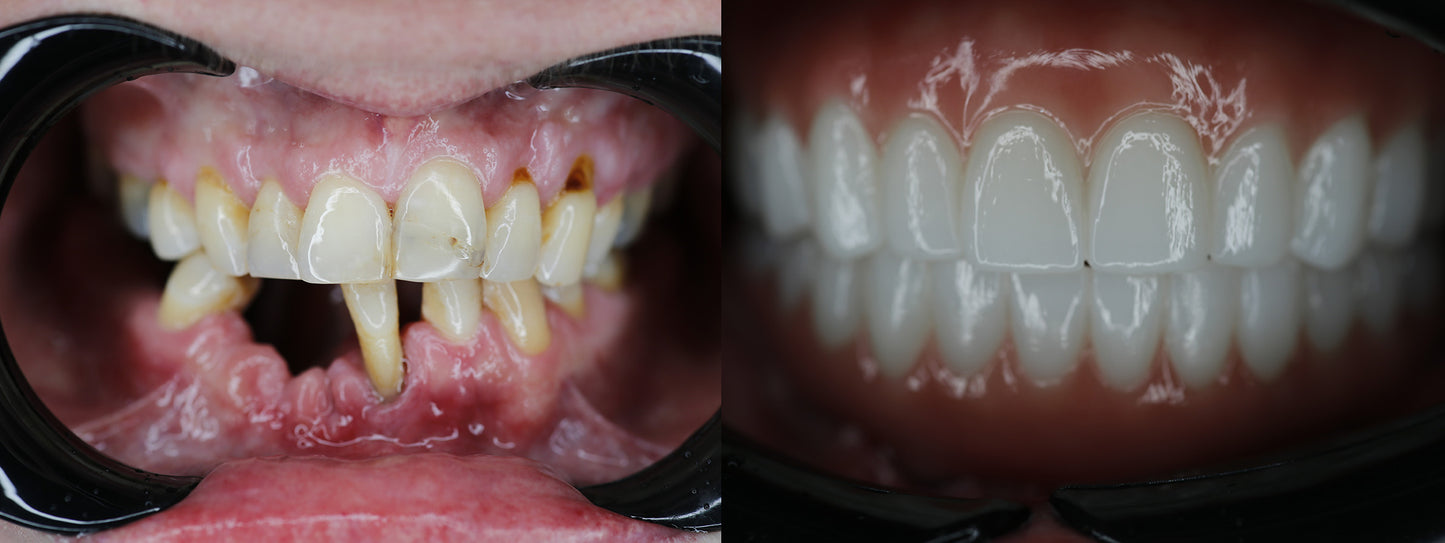
Learn the Complete Overview of Fixed, Full-Arch, Immediate-Load Treatment Modalities in less than 1 Year.
The Corps Continuum is a full-arch sequence of the 4 essential modules for completely understanding the All-on-4 procedure. It includes fundamentals, stackable guides, digital workflow and atrophic arch treatment. Each Continuum has a separate workshop that participants may also attend to enhance their educational experience. Each Module is 2 or 2.5 days in length.
Benefits of Enrollment
- Receive a full education in all aspects of fixed, immediate, full arch “All-on-4.”
- Learn from the leading experts in the industry.
- Courses led by Dr. Adam M. Hogan, a former U.S. Marine who leads Full Implant Choice, a practice dedicated only to full arch, with an in-house laboratory.
- Complete your full arch, “A to Z” education in just 8 months.
- Earn membership in Dr. Hogan’s All-on-4 Corps, a mentoring program with
access to online forums where a member can easily ask for advice or network
with other all-on-4 docs around the country. - AGD/PACE Certified Provider
- Earn over 70 hours of CE in just full-arch dentistry and apply to AAID and ABOI requirements for certification.
- Become eligible for one-on-one, Live surgical training with Dr. Hogan and the
faculty of Atlantic Implant Institute. - Earn a 15% discount on all other classes at the institute including Business, FP1, Exocad, Cadaver Workshops, One-on-One training and more!
- Receive 12% discount to O.R.C.A.A. UFM program in Guatemala City,
Guatemala
Enjoy CE on a Beach, Ocean-Front Community and Bring the Family!
- Peak beach season is Mid-May to Mid-September. Choose from the oceanfront or the Bay.
- The best fishing seasons are usually Spring and Fall but can be year-round depending on what you are looking for.
- Historical Tourism season runs year-round. Southeast Virginia is a must-do on the tour for anyone interested in colonial, revolutionary war, or civil war eras.
- Our airport, ORF, is the connection point for getting to the Outer Banks, N.C. So, bring the family and head to OBX for a few days after one of your modules.
Assistants and Lab Technicians
- Tuition does NOT include entry for assistants, technicians, front office personnel or lab technicians.
- If you wish to bring an auxiliary staff member on a course, then please call or DM for assistance so we can ensure space is available
In-Depth Workshops Associated with Each Course
Corps Continuum in-depth workshops are as follows.
- Fundamental Cadaver Lab
- Offered Sunday after Corps Fundamentals
- Offered Sunday after Corps Fundamentals
-
Exocad Boot Camp
- Offered Sunday after Digital to the Corps
- Atrophic Cadaver Lab
- Offered Sunday after Corps Anchorage
Additional Benefits of Participation in the Corps Continuum
- Enrollment in the “ALL ON 4 CORPS” mentorship program
- Ongoing mentorship in all on 4 corps and Full Arch Addicts
- Discount courses available to Continuum graduates
- The Business of All on 4
- Corps Preservation
- One-on-One Training
- All other courses or programs offered by The Institute for a period of 2 years.
- Continuum Participants enjoy 15% discount on all other programs offered at The Institute
- 15% off a la carte courses not included in the Corps Continuum
Continuing Education Credit (CEU)
- CEU’s for the Continuum (without optional workshops) is approximately 70-80 total CEU’s.
- CEU’s for the Continuum including additional workshops is approximately 90-100 total CEU’s.
- A range of CEU’s exists due to changes of guest faculty as well as modifications to the curriculum that enhance the student experience.
- CEU’s are PACE certified.
INSTRUCTORS
Dr. Hogan owns and operates Full Implant Choice, Seven Cities Dental Arts, and The Atlantic Implant Institute. Full Implant Choice is a reconstructive dental practice in Virginia Beach, Virginia focusing on dental implants, replacement of missing teeth and full-mouth reconstruction ranging from single to subperiosteal implants, and, of course, the full arch procedure. At one time, Adam M. Hogan, DDS, PC was a general dental practice with a hopeful focus in dental implants. Today, Full Implant Choice is a surgical and reconstructive practice recognized as a Full Arch leader. He is a trusted surgical referral office accepting patients from select doctors in the region. Patients have traveled from hundreds of miles and even overseas to obtain the hope and confidence of a new smile from Full Implant Choice and its partner dental laboratory, Seven Cities Dental Arts.
Dr. Hogan is a board-certified Diplomate, American Board of Oral Implantology; an Honored Fellow, American Academy of Implant Dentistry; a Fellow, International Congress of Oral Implantology; and a Fellow, Academy of General Dentistry. He is a past-President of the AAID Southern District and currently serves several AAID committees including the Admissions & Credentialing Committee in Chicago. He is a veteran of the U.S. Navy Dental Corps. Dr. Hogan is a proud enlisted veteran of the United States Marine Corps infantry. In his free time, he enjoys spending time with family, playing or hunting with his dog, Cooper, working out, and enjoying the Chesapeake Bay by beach or by boat. He lives a simple life residing in Virginia Beach, VA.
Keith Klaus, DMD
An up and coming Cosmetic and Restorative Dentist, Dr. Keith Klaus is driven by a passion to merge art with science. Dr. Klaus began his journey, graduating with honors from Mississippi State University with a B.S. in Biological Engineering. He would go on to sharpen his engineering skills working as a research engineer at the Engineering Research and Development Center, a national laboratory for the U.S. Army Corps of Engineers. In the field of dentistry, Dr. Klaus saw an opportunity to utilize his knowledge and skills in engineering to create beautiful and functional smiles.
Dr. Klaus attended the University of Mississippi Medical Center School of Dentistry where he earned his Doctorate of Dental Medicine (D.M.D.), graduating with honors. Dr. Klaus conducted research in the area of implant osseointegration, studying the properties of anodized titanium. He would go on to present his research at the 49th Annual Dental Students’ Conference on Research, sponsored by the ADA Foundation.
While at UMMC, he also excelled in his clinical training earning the Pierre Fauchard Undergraduate Certificate of Merit, The International Congress of Oral Implantologists’ Predoctoral Student Achievement Award, the American College of Prosthodontics Outstanding Undergraduate Achievement Award, and The Academy of Dental Materials Award. A lifelong student, Dr. Klaus has additional training in endodontics, prosthodontics, orthodontics, cosmetic dentistry, and implant restoration.
Training Location
Training Location
Atlantic Implant Institute
4429 Shore Dr, Virginia Beach, VA 23455
(757) 404-9885
Closest Airport
Closest Airport
Norfolk International Airport
Recommended Hotel
Recommended Hotel
Delta Hotels Virginia Beach Bayfront Suiteshttps://www.marriott.com/en-us/hotels/orfdb-delta-hotels-virginia-beach-bayfront-suites/overview/
Faculty
Faculty
Adam M.Hogan, DDS
Alex Molinari, PhD (Honorary)
Keith Klaus, DDS (Honorary)
Juan Gonzalez, DDS, OMFS






Learn from the Digital Workflow Leaders
The Atlantic Implant Institute delivers A-Z digital workflow instruction, enabling you to launch your practice into digital dentistry therightway, or, if you’ve already integrated digital dentistry into your practice, to hone and refine your digital workflow, skills, and results.